İÇ KULAK İLTİHABI (LABİRENTİT)

İç kulak iltihabı veya diğer ismi ile labirentit seyrek görülen hastalıklardan birisidir.
Baş dönmesi, dengesizlik, bulantı, kusma, terleme, işitme kaybı, çınlama gibi birçok belirtiye neden olabilir (Bakınız dronurcelik.com/İşitme Kaybı, Kulak Çınlaması ve Baş Dönmesi yazıları).
Genel olarak böyle bir hastalık ortaya çıktığında hastalığın özelliklerine göre tedavide antibiyotikler, virüslere karşı kullanılan ilaçlar (antiviraller) veya kortizon (steroid) ilaçlar kullanılmaktadır.
Tedavi edilmediği taktirde uzun süreli hatta kalıcı denge sorunlarına ve kalıcı işitme kaybına yol açabilir. Bu nedenle, hızlı tedavi önemlidir.
İç kulak kulağın dengemizden ve işitmenizden sorumlu olan ve adından da anlaşıldığı gibi kulağın en iç tarafında olan kısmıdır. Görevi işitme ve denge olduğu için iç kulağı etkileyen hastalıklarda denge ve işitme bozulur. İç kulağın enfeksiyonunda (iltihaplanmasında) da böyle olur; denge ve işitme bozulur.
Doktorlar bile zaman zaman iç kulak enfeksiyonu (iltihaplanması) ile denge sinirinin enfeksiyonunu (iltihaplanmasını) ayırt edemeyebilirler.
Aslında bu ikisi birbirine benzer belirti ve bulgu verdikleri için bu karışıklık mümkün olabilmektedir. Denge siniri de iç kulaktan başlamaktadır ve beyne gitmektedir. Yani iç kulak ile denge siniri birbiri ile bağlantılıdır ve vücutta aynı işi yapan iki yapıdır. Labirentit veya iç kulak iltihaplanmasında zaten denge siniri, hatta işitme siniri bu enfeksiyondan etkilenmektedir. Yani her iki yapı da hastalanmış durumdadır. Denge sinirinin enfeksiyonunda ise iç kulağın diğer yapılarında pek sorun yoktur. Daha sınırlı bir hastalık durumudur. Sadece denge sinirinde hastalık olduğu için işitme ile ilgili yakınmalar ve çınlama yoktur; sadece denge bozukluğu, baş dönmesi, bulantı, kusma gibi denge sistemi belirti ve bulguları vardır.
Labirentit kimleri etkiler?
Labirentit her yaştan insanı etkileyebilirken, durum en çok 30 ila 60 yaşları arasındaki yetişkinlerde görülür. Kadınlarda erkeklerden iki kat daha sık görülür.
Vertigo ve labirentit arasındaki fark nedir?
Yukarıda anlatıldığı gibi iç kulak iltihaplanması bir hastalık durumudur. Tıpta labirentit olarak bilinen hastalıktır. Vertigo ise bir hastalık değildir; nasıl ki öksürük, karın ağrısı, kaşıntı vb. şikayet iseler, vertigo yani baş dönmesi de bir şikayettir sadece. Vertigo demek baş dönmesi demektir.
Birçok denge sistemi hastalığında vertigo yani baş dönmesi oluşabilir. Burada anlattığımız iç kulak iltihaplanmasında da bir denge sistemi hastalığı söz konusu olduğu için hastanın şikayetleri arasında baş dönmesi (yani vertigo) bulunur. Fakat vertigo başka birçok iç kulak hastalığında, hatta denge sisteminin iç kulak dışındaki yapılarının hastalıklarında görülebilir. Bazı psikolojik hastalıklarda bile vertigo görülebilir.
İç kulak iltihaplanması (Labirentit) tehlikeli midir?
Labirentit zamanında ve doğru olarak tedavi edilirse genellikle tehlikeli değildir.
Zaman kaybetmeden ve doğru tedavi yapılmazsa, işitme kaybına, artmış düşme riskine ve iç kulakta kalıcı hasara yol açabilir. Bazen iç kulak iltihabı menenjite neden olabilir, bazen de menenjit sırasında iç kulak iltihabı gelişebilir. Yani iç kulak ile beyin arasında yakın bir ilişki vardır ve hastalıkları birbirini etkileyebilir.
Kalıcı işitme kaybı, beynin bir enfeksiyonu olan menenjitinin istenmeyen bir sonucu (komplikasyonu) olarak iç kulak iltihabı (labirentit) gelişen çocuklarda sık görülen bir durumdur. Böyle durumlar acildir ve halk arasında biyonik kulak olarak bilinen koklear implant zamanında, geç kalmadan uygulanırsa işitme geri kazanılabilir. Aksi taktirde tedavi edilemeyen, kalıcı, tam kayıp kabullenilmek zorunda kalınır.
Labirent iltihabının belirtileri nelerdir?
İç kulak iltihabı yani labirentit geçirmekte olan kişilerde aşağıdakiler de dahil olmak üzere birçok belirti ve bulgu gösterebilir.
Denge kaybı
Baş dönmesi
Vertigo
Mide bulantısı ve kusma
Bulanık görüş
Kulak çınlaması yani tinnitus
Konsantrasyon zorluğu
İşitme kaybı
Bulanık görme (nistagmus yani istemsiz göz hareketlerine bağlı)
Labirentit neden olur?
Genellikle iç kulak iltihabı mikroplar tarafından oluşturulmaktadır. Çoğu durumda, labirentite bir virüs neden olur, ancak bazen bakteriler de neden olabilir.
En yaygın nedenler şunları içerir:
Bronşit veya diğer solunum yolu hastalıkları
Kızamık, kabakulak, kızamıkçık, çocuk felci ve hepatit gibi hastalıklar sırasında veya sonrasında iç kulak enfeksiyonu (labirentit) gelişebilir.
Nadir durumlarda, labirentite kafa travması veya bakteriyel menenjit neden olabilir.
Bu hastalık bulaşıcı değildir.
Bu hastalığı neler tetikleyebilir?
Soğuk algınlığı veya grip olması iç kulak iltihabını tetikleyebilir.
Ayrıca, aşağıdaki durumlarda iç kulak iltihaplanması (labirentit) gelişme riski daha yüksektir:
Sigara içmek
Çok fazla stres altındalar
Çok fazla alkol al
Kronik olarak yorgun
Alerji öyküsü var
Bazı ilaçlar (örneğin depresyon ilaçları, ağrı kesiciler, şeker hastalığı için kullanılan ilaçlar)
Labirentit nasıl teşhis edilir?
Doktor şikayetleri dinler, bazı sorular ile bilgileri irdeler ve muayene yapar. Tanıdan emin olmak için ayrıca bazı testler isteyebilir. Bu durumlarda kullanılmakta olan testlere örnekler aşağıda verilmiştir.
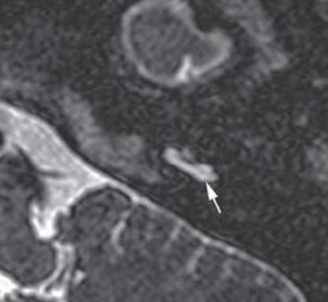
Manyetik rezonans görüntüleme (MR). Bu test, vücudunuzun içindeki ayrıntılı görüntüleri yakalamak için radyo dalgaları ve güçlü mıknatıslar kullanır. Felç durumunu dışlamak için MR yararlıdır (Şekil 1).

Şekil 1. İç kulak iltihabı, yani labirentit olan bir kulakta MR görüntüsü. Ok işareti işitme organı olan kokleayı (salyangoz) işaret etmektedir.
Bilgisayarlı tomografi (BT). İç kulaktaki iltihabın iç kulağın etrafındaki yapılarla, örneğin orta kulak ile olan ilişkisini değerlendirmekte yararlanılır. Bu iltihabın sonrasında gelişebilen iç kulak taşlaşmasının tanısında da altın standart tanı yöntemidir (Şekil 2).

Şekil 2. İç kulak taşlaşması. İki kulakta da iç kulak iltihabının iyileşmesi sırasında istenmeyen bir sonuç olan taşlaşmanın bilgisayarlı tomografi görüntüsü. Beyaz oklar bu durumu göstermektedir.
Denge Laboratuvar Testleri. Bu test dizisi iç kulak ve denge sinirinin işlevini değerlendirmek için tasarlanmıştır. Kızılötesi bir gözlük takarak bilgisayar ile çalışan bir seri testler uygulanıp denge sisteminin önemli bir kısmının sağlıklı çalışıp çalışmadığı test edilir.
Nasıl tedavi edilir?
Tedavi esas olarak iç kulaktaki bu enfeksiyonun sebebinin saptanmasına bağlıdır. Örneğin, bir virüsten kaynaklanıyorsa doktor buna uygun virüse karşı ilaçlar, bakteriye bağlı ise antibiyotikler verecektir. Diğer taraftan hastanın şikayetlerini azaltmak için de rahatlatıcı ilaçlar verilir. Örneğin bulantı ve kusmaya yönelik ilaçlar, baş dönmesini azaltan ilaçlar, dokulardaki şişmeyi (ödemi) azaltmak için kortizon kullandırabilir.
Belirtiler ilaçlarla geçmezse?
İlaç tedavisi her durumda bir yarar sağlayacaktır. Bununla birlikte yarar tatminkar düzeyde olmazsa dengeyi daha iyi hale getirmek için vestibüler rehabilitasyon egzersizleri gerekebilir.
Hastanın bu arada özelikle dikkat etmesi gereken bazı noktalar tedavinin sonuçlarına olumlu etki yapabilir.
Sigara içilmemesi gerekir
Alkol içilmemesi gerekir
Farkındalık veya meditasyon gibi stres yönetimi teknikleri denenebilir
Önlem olarak hastalık riskini azaltmak için soğuk algınlığı ve grip mevsiminde ellerin düzenli olarak yıkanması ve bulaşmaya karşı uygun önlemlerin alınması gerekir.