DENGE SİNİRİ TÜMÖRÜ
Denge siniri tümörü akustik nörinoma ya da vestibüler schwannoma adıyla da bilinir. Beyin ile beyincik arasında kalan bölgenin (serebellopontin köşe) en sık görülen tümörüdür (Şekil 1). Tüm kafa içindeki tümörlerin %6-10 kadarı denge siniri tümörüdür. Ülkemizde görülme sıklığı bilinmemektedir. Bununla birlikte Amerika Birleşik Devletleri’ndeki sayıları ülkemiz nüfusuna yansıtacak olursak tahminen ülkemizde her yıl 700 tane yeni hasta ortaya çıkmaktadır.
Bir kanser değildir; iyi huylu bir tümördür. Tümör beynin ya da beyinciğin içine girmez (invazyon yapmaz), uzak bölgelere sıçramaz (metastaz yapmaz). Önemi kritik bir bölgede yer almış olmasındandır. Hem çıktığı sinir dengemizi sağlayan çok önemli bir yapıdır hem de etrafında çok önemli yapılar vardır. Tümör büyüyüp bu önemli yapılara baskı yaptığı zaman ciddi sorunlar ortaya çıkabilmektedir. Denge sinirinin kılıfından kaynaklanan bu tümörün etrafta ilk baskı yapıp etkileyeceği önemli yapı işitme siniridir. Çünkü işitme ve denge siniri beraber seyreden sinirlerdir. Dolayısıyla tümörün erken belirtileri denge ve işitme ile ilgili olmaktadır: Dengesizlik, baş dönmesi, işitme kaybı, kulak çınlaması vb. (Bakınız dronurcelik.com/İşitme Kaybı, Kulak Çınlaması ve Baş Dönmesi yazıları). Tümör daha da büyür de beyin sapına, beyine, beyinciğe baskı yapmaya başlarsa, ortaya çıkan belirti ve bulgular daha ciddidir ve bunlar yaşamsal öneme sahip olabilirler. Beynin basıya uğraması ve kafa içindeki basıncın artması baş ağrısına neden olabilir. Özellikle bulantı olmaksızın kusma olması önemli bir belirtidir.

Şekil 1. Denge siniri tümörü.
Tümörün büyümesi genellikle son derece yavaştır. Büyüme hızı hastadan hastaya farklılık gösterebilir. Bazen aynı hastada farklı hızlarda büyüme dönemleri olabilir. Bazen büyüme bir süreliğine veya tamamen durabilir. Bazen de tümör hızlı büyür. İşte tüm bu değişkenliklerden dolayı belirti ve bulgularda da değişkenlikler gözlenebilir.
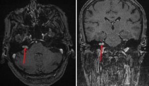
Tanı genellikle hastanın yakınmalarından ve muayene bulgularından kuşkulanan doktorun bazı işitme ve denge testlerini yaptırması, manyetik rezonans görüntüleme ve bilgisayarlı tomografi gibi ileri görüntüleme tetkikleri yaptırması ile konulur (Şekil 2).

Şekil 2. Orta-ileri yaşta bir kadın hastamızda manyetik rezonans görüntüleme (MR) ile görüntülenmiş denge siniri tümörü (vestibüler schwannoma) kırmızı oklarla işaretlenmiştir.
Tedavide asıl önemli olan nokta hastanın yaşamını kurtarmaktır. Günümüzde tanı konulması erkenden mümkün olabilmektedir ve gelişmiş tedavi yöntemleri vardır. Dolayısıyla bu hastalıktan veya bu hastalığa yönelik tedaviden ölen hasta sayısı çok azdır. Tedavide ikinci önemli nokta ise; önemli olan yapıların tedaviden ve hastalıktan zarar görmemesini sağlamaktır. Mümkün olduğu kadar işitmenin korunması ve yüz felci gelişmesinin önlenmesi kritik noktalardır.
Tedavide başlıca üç seçenek söz konusudur:
- Hiçbir tedavi uygulamadan hastanın düzenli aralıklarla yapılan muayene ve tetkiklerle izlenmesi,
- Cerrahi tedavi,
- Özellikli radyasyon tedavisi.
Bu seçeneklerden hasta için hangisinin daha uygun olduğu bazı faktörlere göre değişebilmektedir: Tümörün büyüklüğü, hastanın o kulağındaki ve diğer kulağındaki işitme durumu, hastanın yaşı ve genel sağlık durumu, tümörün büyüme hızı, hastanın tercihi.